Chirurgia delle deformità dell'anca

Le deformità dell'anca sono frequenti nella paralisi cerebrale infantile. Possono essere corrette, almeno parzialmente, tramite opportuni interventi chirurgici

CHE COSA SONO LE DEFORMITÀ DELL'ANCA

Una delle deformità più insidiose nelle Paralisi Cerebrali Infantili è la lussazione dell'anca. Contrariamente alle forme congenite (già presenti alla nascita) la lussazione neurologica compare in seguito, in fase di crescita.

QUALI SONO LE CAUSE DI DEFORMITÀ DELL'ANCA

La particolare situazione neurologica della paralisi cerebrale infantile predispone alle deformità dell'anca. In particolare:

  •  La gravità del quadro neurologico: le deformità dell'anca sono più frequenti nei bambini che non sono in grado di camminare;
  •  Lo squilibrio delle forze muscolari del bacino: sono colpiti da spasticità e quindi necessariamente prevalgono i muscoli adduttori – quelli che avvicinano la coscia al centro del corpo – e i muscoli flessori;
  •  L'assunzione di posizioni viziate per la mancanza di un adeguato controllo complessivo della postura;
  • I pazienti che non sono in grado di camminare non scaricano il proprio peso sul femore e, di conseguenza, il collo del femore assume una forma diritta anziché angolata (valgismo cervico cefalico);
  • Un anomalo sviluppo della cavità acetabolare del bacino, la cavità che accoglie la testa del femore con cui forma l'articolazione dell'anca, che anziché essere orizzontale diventa verticale scoprendo così la testa del femore.

QUALI SONO LE DEFORMITÀ DELL'ANCA

A seconda del grado di incongruenza dell'articolazione possiamo distinguere due forme di deformità dell'anca:

  •  La sublussazione in cui si ha una parziale perdita del rapporto di congruenza tra la cavità acetabolare e la testa del femore;
  •  La lussazione in cui si ha la perdita completa del rapporto di congruenza tra cavità acetabolare e testa del femore.

 QUALI MISURE ADOTTARE

Gli orientamenti da seguire nella pianificazione della terapia sono ben definiti a livello internazionale: è opportuno prevenire la lussazione dell'anca attraverso controlli clinici e radiografici periodici e intervenire precocemente non appena la deformità si manifesta, per evitarne il peggioramento.
La lussazione dell'anca determina un grave danno dell'articolazione causando l'usura della cartilagine, da ciò deriva una sintomatologia dolorosa che si aggrava progressivamente.
A causa della tensione dei muscoli spastici (spasticità), l'anca lussata continua a risalire provocando un forte attrito tra la testa del femore e il bacino.
Ne deriva una importante  limitazione dei movimenti dell'articolazione dell'anca con atteggiamento in adduzione e flessione della coscia, difficoltà a gestire il paziente per le cure riabilitative, difficoltà igieniche e difficoltà posturali.
Lo squilibrio del bacino che ne deriva, spesso favorisce la comparsa di scoliosi.

COME E QUANDO SI CURANO LE DEFORMITÀ DELL'ANCA

Quando il trattamento conservativo (fisioterapia, farmaci miorilassanti) della paralisi cerebrale infantile non è in grado di contrastare l'evoluzione della deformità dell'anca, è opportuno intervenire chirurgicamente, anche in età precoce.
Il primo livello di trattamento chirurgico, in presenza di spasticità è sempre sulle parti molli, riducendo la tensione dei muscoli prevalenti (adduttori ed eventualmente lo psoas che flette la coscia sul bacino). Questa chirurgia non è particolarmente invasiva, si può eseguire in maniera percutanea attraverso la fibrotomia, permette dei tempi di recupero veloci.
Il vantaggio del riequilibrio muscolare è quello di fermare o rallentare i danni causati dai muscoli spastici che, con le loro forze eccessive, conducono la testa del femore fuori dalla cavità acetabolare. Questo intervento si può eseguire anche in età molto precoce (2-3 anni) (Figure 1-2).
Il secondo livello di trattamento chirurgico delle deformità dell'anca avviene sulle parti ossee, può interessare solo il femore oppure femore e acetabolo a seconda del danno anatomico.
Si tratta di un intervento chirurgico invasivo in cui, attraverso opportune fratture chirurgiche, si va a ricostruire la corretta disposizione del collo femore e della cavità acetabolare in modo da permettere l'alloggiamento della testa del femore all'interno della cavità acetabolare. All'intervento segue l'applicazione di un apparecchio gessato per favorire la riparazione delle fratture chirurgiche. Questo intervento in genere viene consigliato dopo i 6 anni di età (Figure 3-4).
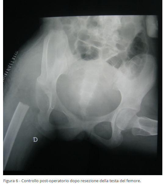
Il terzo livello di trattamento chirurgico delle deformità dell'anca nei bambini con paralisi cerebrale infantile avviene sul femore nei pazienti più grandi in cui non è più possibile ricondurre la testa del femore all'interno dell'acetabolo. Tale intervento prevede la resezione e l'asportazione della testa del femore in modo da non avere più attrito tra testa del femore  e bacino. Questo intervento si esegue in genere sopra i 15 anni di età, permette la risoluzione completa del dolore e il recupero dei movimenti della coscia (Figure 5-6).

a cura di: Pier Francesco Costici, Rosa Russo  -  Unità Operativa di Ortopedia
in collaborazione con: Bambino Gesù Istituto per la salute

articolo originale da ospedalebambinogesù.it
Share by: